Lunes, 08 de diciembre de 2025
Volver Salamanca RTV al Día
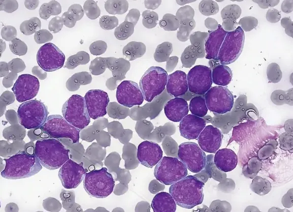
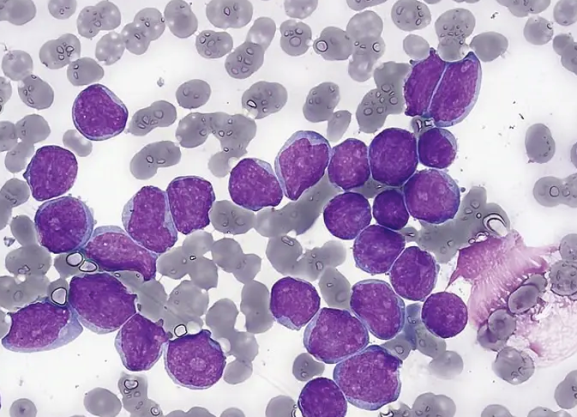
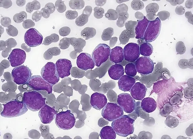
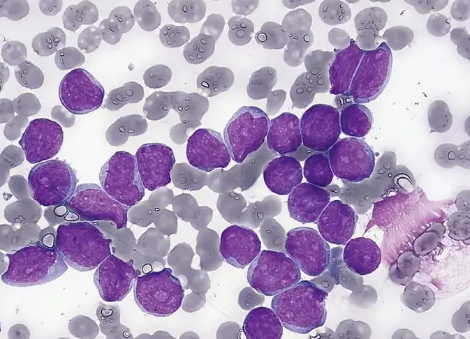
Anticiparse a la leucemia infantil en lugar de curarla: el nuevo reto del CIC de Salamanca
X

sanidad

Anticiparse a la leucemia infantil en lugar de curarla: el nuevo reto del CIC de Salamanca

Actualizado 04/07/2025 19:19

La investigación se centra en identificar biomarcadores epigenéticos que permitan detectar a los niños con riesgo de desarrollar la enfermedad y actuar antes de que se manifieste, evitando así los agresivos tratamientos de quimioterapia

La prevención como eje central para combatir el cáncer pediátrico más frecuente. Esa es la revolucionaria premisa que impulsa un proyecto internacional en el que participa activamente un grupo de investigadores del Centro de Investigación del Cáncer (CIC) de Salamanca, centro mixto del CSIC y la Universidad de Salamanca.

El equipo, dirigido por Isidro Sánchez García, forma parte de un consorcio financiado por la convocatoria Transcan-3. Su misión se enmarca en el proyecto 'Deciphering Epigenetic Biomarkers to Identify Preleukemic Carriers at Risk', que busca cambiar el paradigma del manejo clínico de la leucemia aguda linfoblástica de células B, tal y como recogee Europa Press.

Actualmente, uno de los mayores desafíos médicos es identificar qué niños, portadores de clones preleucémicos, acabarán desarrollando la enfermedad. Solo un pequeño porcentaje lo hace, y el objetivo es poder interceptar el proceso antes de la transformación maligna.

La epigenética, la llave para la prevención

La clave de esta investigación reside en la epigenética, una rama de la biología que estudia cómo factores externos e internos pueden 'encender' o 'apagar' genes sin alterar la secuencia del ADN. Funciona como un complejo sistema de interruptores que regula la expresión génica.

Estos 'interruptores' pueden verse influenciados por la alimentación, el estrés, infecciones o contaminantes. Comprender estos mecanismos es fundamental para saber por qué algunos niños con predisposición desarrollan leucemia y otros no, abriendo la puerta a la predicción del riesgo y a futuras estrategias preventivas.

Objetivos claros para un cambio de paradigma

El proyecto tiene como meta principal "identificar biomarcadores epigenéticos que permitan detectar de forma precoz a los portadores de clones preleucémicos con riesgo de desarrollar leucemia", según han informado fuentes del CIC. Para ello, se estudiarán tanto los factores intrínsecos de la célula como los extrínsecos, como la influencia del microambiente.

El investigador principal del CIC, Isidro Sánchez-García, ha señalado que "el proyecto representa un cambio de paradigma en el abordaje de la leucemia infantil, al proponer una estrategia preventiva basada en la detección precoz y la intervención temprana".

Gracias a la identificación de biomarcadores epigenéticos, "se podrá identificar a los niños con mayor riesgo de desarrollar leucemia", lo que abre la posibilidad de intervenir antes de que la enfermedad se manifieste clínicamente.

Además, "la prevención de la leucemia evita la exposición de los niños a tratamientos quimioterápicos agresivos y sus efectos secundarios a largo plazo", ha añadido el investigador.

Los hallazgos de este ambicioso proyecto no solo podrían transformar el futuro de los pacientes pediátricos con leucemia, sino que también podrían extenderse a otros tipos de cáncer y enfermedades de la sangre, abriendo nuevas e importantes vías de investigación y tratamiento.