Viernes, 05 de diciembre de 2025
Volver Salamanca RTV al Día
El osteosarcoma, la enfermedad que tenía la hija de Luis Enrique
X

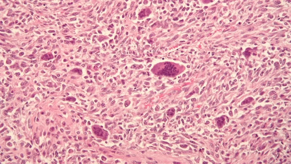
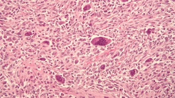
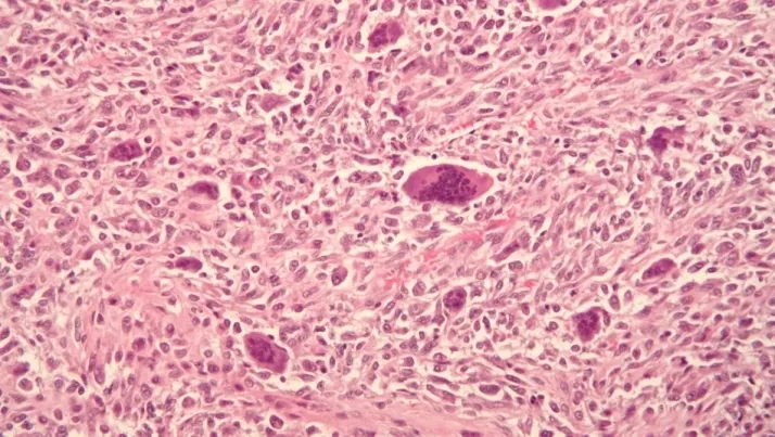
tumor óseo maligno

El osteosarcoma, la enfermedad que tenía la hija de Luis Enrique

Actualizado 30/08/2019

Es el cáncer de huesos más habitual y se origina en las células óseas más inmaduras

Tras el fallecimiento este jueves de la hija pequeña de Luis Enrique Xana Martínez, a los nueve años de edad después de sufir un osteosarcoma durante los últimos cinco meses, se ha incrementado el interés por esta enfermedad.

El osteosarcoma es un tumor óseo maligno derivado de las células que genera el hueso. Es el cáncer de huesos más habitual representando un 35% del total de los cánceres óseos. Se origina en las células óseas más inmaduras que son las que generan hueso nuevo (los osteoblastos), explica la Asociación Española Contra el Cáncer (AECC).