Viernes, 05 de diciembre de 2025
Volver Salamanca RTV al Día
Investigadores españoles descubren una conexión entre los nutrientes y un linfoma sin cura
X

Salud

Investigadores españoles descubren una conexión entre los nutrientes y un linfoma sin cura

Actualizado 21/08/2019

El linfoma folicular es un tipo de tumor que aparece en los glóbulos blancos del sistema linfático

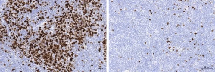
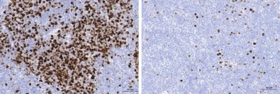
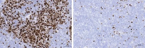
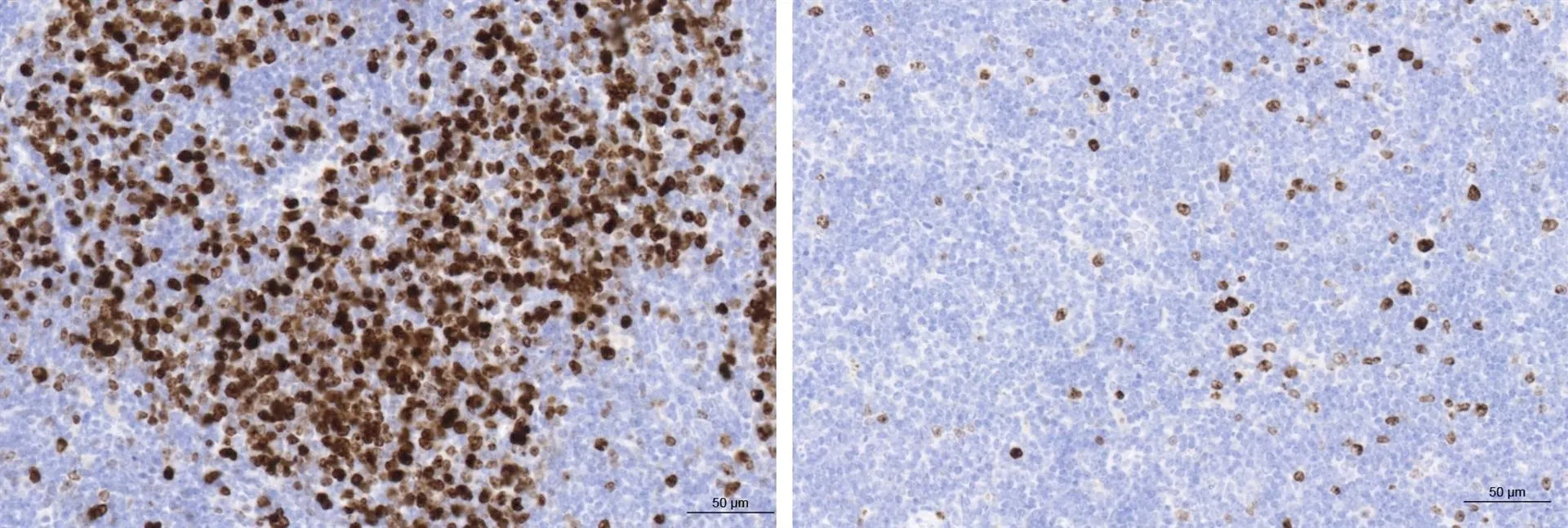
Investigadores del Centro Nacional de Investigaciones Oncológicas (CNIO) ha descubierto una conexión entre los nutrientes y el linfoma folicular, un tipo de tumor que aparece en los glóbulos blancos del sistema linfático, y es consecuencia del crecimiento descontrolado de estas células del sistema inmune.

Se da en unos 5-7 casos por 100.000 habitantes, es el segundo tipo de linfoma más frecuente y su incidencia va en aumento. Se trata de un cáncer con una supervivencia larga debido a su lenta progresión, pero para el que no existe una cura: con el tiempo, muchos pacientes dejan de responder a los escasos tratamientos disponibles.

Su causa y origen se encuentra en el sistema inmunitario. Para responder al ataque de un patógeno (por ejemplo, un virus o una bacteria), las diferentes células que forman parte de este sistema (células B, células T, macrófagos) se multiplican y se organizan como un ejército para atacar al patógeno.

Este 'ejército' monta una arquitectura de comunicación entre las células que se desmantela cuando el patógeno ha sido eliminado y la respuesta inmunitaria debe terminar. Sin embargo, en algunos casos esta arquitectura se conserva de manera anómala, el crecimiento de las células B que han participado en esta respuesta se descontrola y da lugar a un tumor, los linfomas foliculares.

Las causas genéticas de este fenómeno aún no están claras, pero uno de cada seis pacientes muestra mutaciones en 'RagC', uno de los genes de la importante ruta metabólica de 'mTOR'. Este estudio, publicado en la revista 'Nature Metabolism', confirma que la mutación es causa y no consecuencia de la enfermedad, tratándose de la primera evidencia de actividad oncogénica entre los genes que informan a 'mTOR' de la presencia de nutrientes para crecer.

Empleando la novedosa técnica de edición genética CRISPR-Cas9, los investigadores indujeron la mutación en un modelo de ratón que vio aumentada su supervivencia tras ser tratado con rapamicina, un inhibidor de 'mTOR' que ya se encuentra en clínica para otros tumores.

El Grupo de Metabolismo y Señalización Celular del CNIO ha identificado el papel de esta ruta como origen de los linfomas foliculares, y proponen la exploración en futuros estudios de una posible estrategia terapéutica con un fármaco que ya está en clínica para otros tumores.

"Lo que hemos visto es que, con la mutación que hemos inducido en 'RagC', este gen está siempre en modo 'on'. Esto hace que las células B que han participado en una respuesta inmunitaria crean que tienen nutrientes para crecer y lo hagan descontroladamente. Nuestro estudio confirma que las mutaciones en 'RagC' están en el origen de la enfermedad y, por lo tanto, nos encontramos ante la primera evidencia de actividad promotora de tumores de 'RagC' y de todo el conjunto de genes que informa a 'mTOR' de la presencia de nutrientes para crecer", explica Alejo Efeyan, autor principal de la investigación.